铭医集团连锁:  建设院  卓展院  海峡院  吉林院  松原院  深圳院  成都院  北京院  首尔院
当前位置:主页 | 口腔美容 | 牙齿修复 | 种植牙 |

种植牙术前准备都有什么?

作者: 来源:铭医整形美容医院 日期:2014-11-05
核心提示:
成年人如果牙齿脱落就不会有再生长的可能了,很多人面对牙齿缺失一筹莫展,铭医长春种植牙专家介绍如今已经不需要担心牙齿缺失无法再生的问题了,因为口腔整形里的种植牙齿可

        成年人如果牙齿脱落就不会有再生长的可能了,很多人面对牙齿缺失一筹莫展,铭医长春种植牙专家介绍如今已经不需要担心牙齿缺失无法再生的问题了,因为口腔整形里的种植牙齿可以很好的帮您解决这一问题,并且术后可以使修复的牙齿自然并且可以完成正常的咀嚼功能。下面就来看看这项手术的一些术前工作有哪些需要注意的吧。

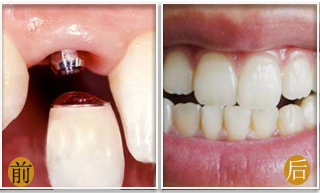
种植牙,对比图,长春好的整形医院

        种植牙术前准备都有什么?

        1)术前常规检查:根据其大小宽度和高度选择能否种植和种几个种植体,所以要检查缺牙的部位、间隙大小、牙槽骨的宽度、牙槽嵴状况、粘膜组织状况。

        2)放射检查:主要了解牙槽骨密度和数量及有无疾病。颌骨曲面断层全景片,可以了解牙槽嵴高度、鼻底、上颌窦高度、下齿槽神经情况、颏孔的位置。牙片可较清楚地了解牙槽骨的密度,部分了解牙槽骨的数量。以及邻牙的牙周组织、牙体组织及根尖情况。 螺旋CT,可以准确地了解牙槽骨高度、宽度、准确定位和进行术前模拟手术。后牙区的种植由于有上颌窦高度和下齿槽神经的问题,螺旋CT的检 查很有必要。

        3)种植前设计:种植手术前,首先要拍照片取模型等资料收集工作,确定修复的类型,种植系统,种植体的数量、位置、方向、长度,然后制作出种植手术用模板,使手术能准确顺利地进行。

        以上就是种植牙术前的护理事项了,这些护理知识也是为了自己能够有个好的手术效果而准备的,所以一定要多加重视。如果您还有什么不懂的地方,可以点击我们的在线专家进行详细的咨询。


 


        暑假来临,在这长长的假期,完全可以酝酿一场美丽的蜕变!吉林铭医整形美容医院与您携手,见证您的美丽绽放!持教师证、学生证可享:彩光祛斑4.8折起,脱毛6.8折起,双眼皮990元起,假体隆鼻3000元起等多种优惠,就在这个暑假,铭医遇见至美的你。今天,和小编一起走进吉林铭医整形美容医院,分享暑期淘美宝典。点击微信公众平台与铭医互动,惊喜等着你!