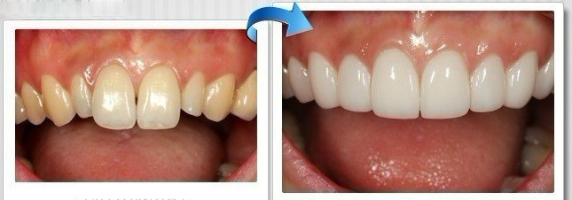
兔牙矫正用什么方法效果好?
站在命理学的角度,兔牙虽然看起来可爱,但牙齿不整齐对面相学而言易招致口舌之灾,导致人际关系不佳,甚至影响桃花运。吉林铭医整形美容医院的专家,针对“兔牙需要拔牙吗”等大家关心的问题为大家做解答。
站在命理学的角度,兔牙虽然看起来可爱,但牙齿不整齐对面相学而言易招致口舌之灾,导致人际关系不佳,甚至影响桃花运。吉林铭医整形美容医院的专家,针对“兔牙需要拔牙吗”等大家关心的问题为大家做解答。
兔牙矫正什么方法至适合
兔牙矫正什么方法至适合?病患在面对各家牙医的评估判断时,至令人感到困惑的问题莫过于“到底要不要拔牙?”。这个答案随着每位病患的齿列混乱程度,还有医生的专业训练及临床判断等要素而不同,但模棱两可或医生各执一词的答案,更让病人感到迷惑。
齿列拥挤、参差或暴牙的原因多半与牙弓空间和牙齿无法取得平衡有关,有些病患牙弓空间太小,无法容纳足够的牙齿,有些病患则牙齿太大颗,导致牙弓空间不够,就像停车场只划了十个车格,却硬是停进十二部车,便会造成拥挤,牙齿也是,齿列过挤便会产生混乱或外暴,面对这类型患者,牙医生必须设法腾出牙弓空间以排平齿列。

兔牙必须拔牙吗?
创造牙弓空间有几种方式,拔除上下左右的第一小臼齿是至普遍使用的常规矫正技巧。成人小臼齿宽约0.8公分,若两侧小臼齿皆拔除,就可腾出约1.6公分,医生会视病患上下齿列的关系与齿列拥挤程度,决定拔除二颗或四颗小臼齿,而若牙齿参差幅度较小,或拔牙以外需增加更多牙弓空间,医生也可将牙齿稍加修磨以创造空间。因为,牙齿外围包覆着厚厚的珐琅质,医生稍微修磨每颗牙齿的珐琅质外层,既不影响牙齿的美观与功能,又可为牙齿创造空间,将突出的牙齿排列整齐。
兔牙矫正牙也可利用“将臼齿往后推移”的矫正技巧创造牙弓空间,只要臼齿后面的智齿尚未萌发或可以拔除,便可利用智齿占据的牙弓空间,将臼齿往后推移以创造空间,让原本参差或外暴的牙齿排平或内缩。以上这几种创造牙弓空间的方式除可单独使用外,也可复合式交叉运用。
至后提醒想矫正牙齿的人,纯熟的技术、丰富的临床经验,与良好的口碑,是病患决定矫正医生时考量的重点,矫正前若能审慎选择适当的医生,并与矫正专科医生充分沟通,才能有满意的矫正术后效果。
- 上一篇:牙齿矫正价格的高低由谁决定呢
- 下一篇:牙齿矫正,露出迷人的微笑







